症例紹介
治療された患者さんの
症例をご紹介します。
症例紹介
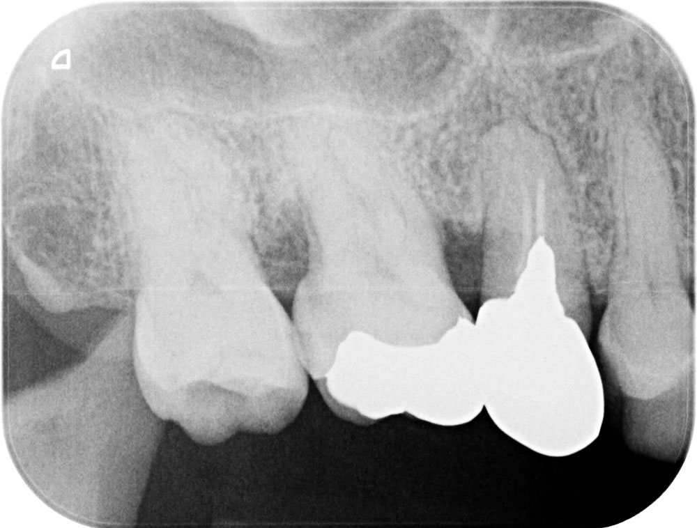
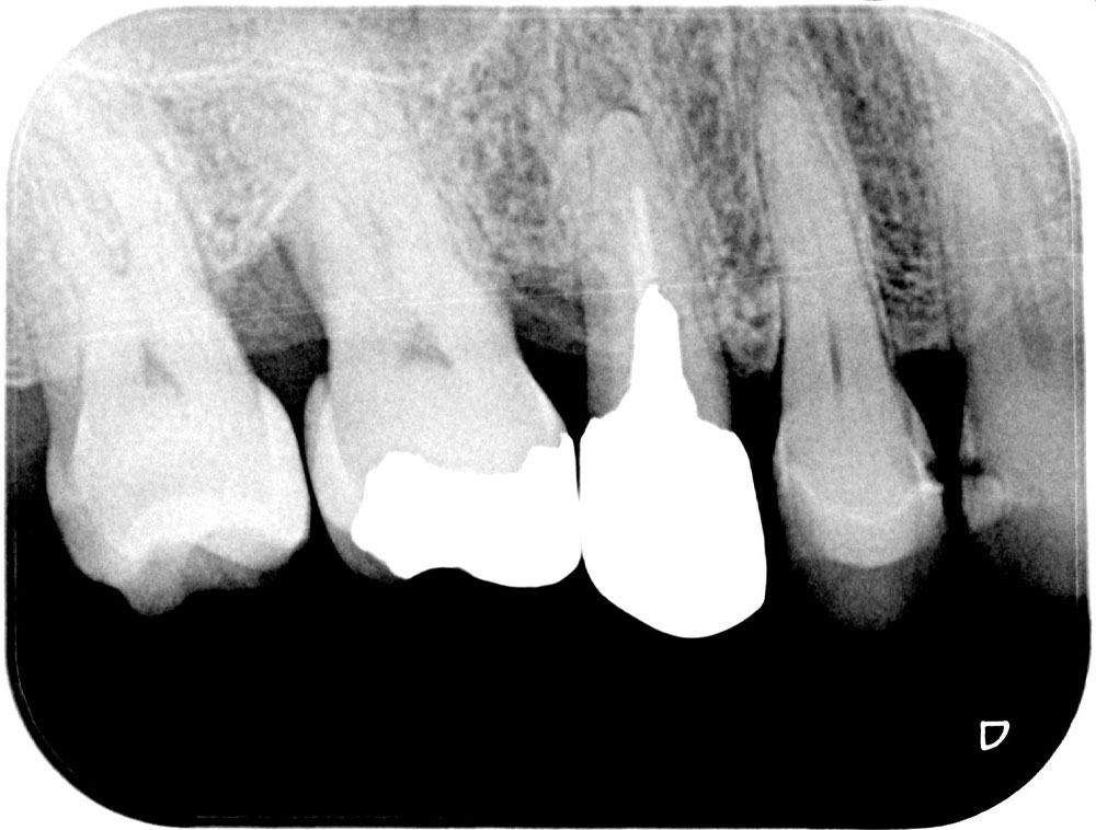
マウスピース矯正中の虫歯治療
40代 / 男性 2025年10月14日 公開

虫歯治療前

虫歯治療後
患者さんは40代の男性で、マウスピース矯正中でした。マウスピース矯正は手軽な反面、一日の指定時間(通常22時間前後)は透明なマウスピースを装着する必要があるため、マウスピース矯正中に虫歯のお悩みに直面する患者さんが多い治療です。矯正専門のクリニックでは自院で精密な虫歯治療ができない、虫歯治療をすることで歯の形が変わってしまいマウスピースの作り直しが必要になるなど、矯正中の虫歯治療が難しい場合が多くあります。
この患者さんもマウスピース矯正中に虫歯治療の必要があり、左上6番の虫歯治療することになりました。デジタルの歯科治療に豊富なノウハウを持つ恵比寿・広尾歯科はマウスピース再製作の費用や矯正期間遅延の心配することなく、矯正中も虫歯治療をおこなうことができます。
噛み合わせの不具合を精密な診断で白い歯に治療
50代 / 男性 2025年10月14日 公開

治療前

治療後
患者さんは50代の男性で、顎を動かして話したり食べたりする際、奥歯に過度の力や加わり、また上下の歯同士がぶつかることで、歯に負担がかかりその1本の歯だけでなく周囲の歯にも影響を及ぼしていました。そのため他医院で保険による銀歯の被せ物の治療を繰り返されていらっしゃったとのこです。今回は下顎の銀歯を白いセラミックで綺麗にしたいということで、恵比寿・広尾歯科に来院されました。お口のなかを拝見すると本来は顎が左右に動く際には犬歯が起点となって、奥歯に強い横向きの力が加わらないように隙間をつくるのですが、この患者さんは犬歯の働きが正しくできずに奥歯に強い力が加わり続けていました。この強い噛み合わせは歯周病の要因(咬合性外傷)となったり、周囲の歯をふくみ欠け・割れを引き起こすことがあります。根本原因を解決せずに白いセラミックで治療しても、固いセラミックにより反対側の歯を痛めてしまったり、時には固いセラミックも欠けるようなダメージを歯に受けることもあります。そこで根本的な噛み合わせと顎運動の改善から治療をスタートし、仮歯で時間をかけて患者さんの理想的な犬歯誘導が行われる形態と噛み合わせをつくり、最終的にセラミックの本歯で治療を終えました。
噛み合わせと歯の負担を精密な診査診断で治療
40代 / 女性 2025年10月14日 公開

歯周再生治療前

歯周再生治療後
患者さんは40代の女性で、歯がグラグラで噛めないので噛めるようしたいと恵比寿・広尾歯科に来院されました。お口のなかを拝見すると歯周病が進行し特に奥歯の歯周ポケットが深くなり、歯を支える顎の骨が溶けている状況でした。歯ブラシで磨きにくいため汚れが溜まりやすいだけでなく、奥歯は噛み合わせの力が強く加わり歯周病の悪化しやすい歯です。この患者さんも以前、保険の銀歯で治療されていましたが、年々歯がグラグラ(動揺)して噛めないとご来院されました。
歯周病認定医でもある院長 前島による歯周病診断、歯周基本治療のうえで、エナメルマトリクス蛋白(EMD/エムドゲイン)による歯周病再生療法により失われた顎の歯を支える骨を再生します。このエナメルマトリクス蛋白は、幼若ブタの歯胚から抽出・精製したもので、このタンパク質により歯が生えるメカニズムを応用して失われた骨の再生を促します。今回は基本歯周治療と歯周再生療法による歯周病治療をおこないました。
歯周病で歯を失いオールオン4インプラントで治療
40代 / 男性 2025年2月28日 公開

インプラント治療前

インプラント治療後
患者さんは40代の男性で、歯がグラグラで噛めないので噛めるようしたいと恵比寿・広尾歯科に来院されました。お口のなかを拝見すると歯周病が進行しており、すべての歯で歯周ポケットも深くなり、全体の歯が揺れている状況でした。
特に残っている上顎の歯の評価を行って神経のある歯5本、神経のない歯4本を残すか、残さず抜歯するかをないか慎重にの評価を行いました。歯をのこした場合のリスクを分かりやすくお伝えし、治療プランを3つに絞って提案しました。
患者さんはプラン1「全ての歯を抜歯したうえで、4〜6本インプラントによって上部構造を支えるプラン」を選択、オールオン4によるインプラント治療を行いました。
保険による根面の虫歯治療
40代 / 男性 2025年2月3日 公開

治療前

治療後
患者さんは30代男性です。ご来院時に食いしばりが主な原因と考えられる骨隆起(歯槽隆起)もみられ、同時に歯茎の退縮によって歯の根面が露出したことによる虫歯がありました。
歯軋りを止めることは難しいため、症状緩和としてナイトガードとよばれるマウスピースを睡眠時に使うこと、自費治療では咬筋に対して弛緩作用のある製剤を注射する治療があること、この点を踏まえて次の治療計画を提案しました。
(1) 根面欠損は保険治療のコンポジットレジンを充填
(2) 歯軋りの症状が改善しない場合はナイトガードの作成
(3) ナイトガードで十分な効果が得られない場合は、咬筋に弛緩作用のある製剤を注射する治療も考慮
患者さんの同意を得て今回は、保険治療の範囲で (1) を行いました。
歯並びと顎の痛みを非抜歯のマウスピース矯正で治療
30代 / 男性 2025年1月24日 公開

矯正治療前

矯正治療後
患者さんは30代男性です。前歯が下の歯を覆い隠す深い噛み合わせ (オーバーバイト)でした。患者さんのお悩みは噛み合わせと、口を開ける時の痛みでご来院されました。デジタルレントゲンと歯科用CTによる診査診断の結果、下顎の後方転位をともなうアングルクラス1相当と診断しました。また他の矯正医院で抜歯が必要と言われ、矯正のために抜歯を避けたいというご希望も踏まえ、マウスピース型矯正(インビザライン)による非抜歯での矯正計画をご提案、治療開始から約2年6ヶ月で矯正治療を終えました。
修復不能のブリッジをインプラントと白いセラミックスで治療
50代 / 男性 2024年1月26日 公開

インプラント治療前

インプラント治療後
患者さんは50代男性です。左下のブリッジが取れてしまったということで、恵比寿・広尾歯科に来院されました。デジタルレントゲンと歯科用CTによる診査診断の結果、この左下のブリッジは虫歯により歯とブリッジの間に隙間ができてしまい、また土台となる歯も強度不足で、ブリッジを作り直し再度装着することは困難な状況でした。患者さんは既にインプラント治療のご経験を通してメリットを実感されており、今回もインプラント治療をご希望されて修復治療を終えました。
前歯の深い噛み合わせを歯並びをマウスピース矯正で治療
30代 / 男性 2024年1月17日 公開

矯正治療前

矯正治療後
患者さんは30代男性です。前歯が下の歯を覆い隠す深い噛み合わせ (オーバーバイト)でした。この深い噛み合わせが(審美的に)気になるとご来院され、恵比寿・広尾歯科でのマウスピース矯正をご希望されました。デジタルレントゲンと歯科用CTによる診査診断の結果、奥歯の咬合関係に大きな問題はなく、噛み合わせ不調の訴えもなかったことから、審美的に優れたスマイルラインの獲得、歯の重なりの改善、咬み合わせたときに下の歯が見える、の3点を矯正治療のゴールとして設定しました。マウスピース型矯正(インビザライン)による治療計画をご提案、治療開始から約2年3ヶ月で矯正治療を終えました。
ホワイトニングによる歯を白くする施術
20代 / 女性 2023年7月28日 公開

治療前

治療後
患者さんは20代女性です。恵比寿・広尾歯科に歯を白くしたいとお越しになられました。デンタル IQ の高い患者さんで定期メンテナンスも行き届いていますが、メインテナンスだけではどうしても残ってしまう歯の黄ばみ除去にホワイトニングの施術は効果的です。恵比寿・広尾歯科で採用しているホワイトニングシステムは薬剤を吸収させるタイプと異なり、歯面全体に当てますので歯の全体が白くトーンアップします。今回は犬歯から犬歯まで、前歯12本を対象歯とした1時間のホワイトニングコースで施術いたしました。
自由診療によるメインテナンス(PMTC)
30代 / 女性 2023年7月24日 公開

治療前

治療後
患者さんは30代女性です。恵比寿・広尾歯科に歯の着色が気になるとご相談頂きました。この患者さんのようにコンタクト(歯と歯のあいだ)下などの清掃が難しい部分の茶渋などの着色除去には、保険診療でのメインテナンスでは対応が難しいため、自由診療での丁寧なメインテナンス(PMTC)施術は効果的です。恵比寿・広尾歯科では約60分のお時間を頂いて、歯科衛生士が丁寧にお口をクリーニング・メインテナンスします。デンタルホワイトニングと異なり PMTC では、ホワイトニング剤を使用しませんので沁みることや施術後の食事制限もなく、歯全体が白くトーンアップします。
ダイレクトボンディング(CR)による白い歯の治療
50代 / 男性 2023年7月13日 公開

治療前

治療後
患者さんは50代男性です。恵比寿・広尾歯科での検診にて、前歯部の虫歯が見つかり処置を希望されました。過去に治療した保険によるレジン(CR)*の劣化も認められたため、より丈夫な自費治療でのダイレクトボンディングを希望されました。マイクロスコープ(歯科用顕微鏡)にて虫歯を丁寧に取り除き、ダイレクトボンディング(CR)を行いました。白く自然な見た目と虫歯の拡大視野での治療を一日で改善することができました。
ダイレクトボンディング(CR)による白い歯の治療
50代 / 女性 2023年6月19日 公開

治療前

治療後
患者さんは50代女性です。上の前歯が欠けたという主訴で恵比寿・広尾歯科に来院されました。口腔内診査とレントゲン写真から欠けてしまった所だけを埋める歯に優しいダイレクトボンディング(CR)*が可能と診断し治療を行いました。白く自然な見た目と、前歯の噛み合わせ機能の両方を、一日で改善することができたことで、患者さんにも評価を頂きました。
前歯の叢生をマウスピース矯正(治療と費用)
30代 / 女性 2023年4月24日 公開

矯正治療前

矯正治療後
患者さんは30代女性です。前歯の歯並びが気になるということで、恵比寿・広尾歯科でのマウスピース矯正をご希望されました。デジタルレントゲンと歯科用CTによる診査診断の結果、両側の上の奥歯が前に移動して犬歯のスペースが無くなったことで、唇側に飛び出していたことが叢生(そうせい)の要因でした。そこで犬歯のスペースを確保する上顎の両側第一小臼歯(前から4番目の歯)の抜歯をご提案しました。マウスピース型矯正(インビザライン)による治療計画をご提案、治療開始から約2年で矯正治療を終えました。
金属の詰めものに隠れた虫歯をセラミックスで治療
70代 / 女性 2022年11月11日 公開

治療開始時

治療終了時
患者さんは70代の女性で、定期検診でご来院されました。かなり昔に治療された金属の詰めものが右下の奥歯にあり、検診で金属の下が黒く透けていました。一度外して確認したいとご希望を頂きチェックしたところ、かくれ虫歯(二次カリエス)が認められたため、虫歯を丁寧に取り除きう蝕処置を致しました。金属の詰めものは適合(精密さ)に問題がある場合も多く、せっかく治療した虫歯が再発することも多いので注意が必要です。患者さんのご希望で今回は金属の詰めものではなく、接着性の良いセラミックスの精密なインレーで審美と機能を両立した補綴(歯の詰めもの)をおこないました。
欠けた奥歯を1日でセラミックス修復
30代 / 男性 2022年8月30日 公開

治療開始時

治療終了時
患者さんは30代の男性で、右下の奥歯に食べ物が挟まりやすいという主訴で来院されました。視診を行うとレジン充填(プラスチックの詰めもの)の脱落が確認される状態でした。放置することで更にコンポジットレジンの脱落が拡がったり、二次虫歯のリスクが高まることから早めの治療をご提案しました。デンタルIQの高い患者さんでセラミックによる白い詰めものをご希望頂きましたが、技工所の休業日に重なりお急ぎの治療が難しいためセレックを使ったセラミックスインレーによる 1DAY 修復をご提案し、ご希望に沿って即日治療を行いました。
前歯をセラミックスクラウンで審美治療
30代 / 男性 2022年2月7日 公開

治療開始時

治療終了時
患者さんは30代の男性で、前歯に痛みがあり、グラグラする(動揺がある)ので治療したいという主訴で来院されました。触診を行うと右上1番が動いている状態でした。レントゲン撮影で骨の様子を確認すると、右上1番の歯冠部に破折線が確認出来たため歯冠破折と診断し、ファイバーコアとセラミッククラウンによる歯冠部分の修復をご提案して審美治療を行いました。
マウスピース型矯正で前歯のガタガタを矯正治療
10代 / 女性 2021年10月27日 公開

治療開始時

治療終了時
患者さんは20代の女性で、前歯の歯並びが気になるという主訴で来院されました。デジタルレントゲンと歯科用CTによる診査診断で、若干の前歯部の開咬(前歯が噛み合わない状態)が見られました。マウスピース型矯正(インビザライン)による治療計画をご提案し、新型コロナウイルスの感染拡大と自粛期間における一次休止をはさみ、治療開始から2年1ヶ月(25ヶ月)で治療を完了しました。
マウスピース型矯正で歯のガタガタを矯正治療
20代 / 女性 2021年8月18日 公開

治療開始時

治療終了時
患者さんは20代の女性で、前歯の歯並びを治したい治療したいという主訴で来院されました。デジタルレントゲンと歯科用CTによる診査診断で第一大臼歯の噛み合わせ位置が左右で異なり右側1級、左側2級、また下顎前歯部の叢生と診断しました。マウスピース型矯正(インビザライン)による治療計画をご提案し、2年3ヶ月(27ヶ月)で矯正治療を完了しました。
マウスピース型矯正でオープンバイトを矯正治療
50代 / 女性 2021年8月4日 公開

治療開始時

治療終了時
患者さんは50代の女性で、前歯のガタガタが気になり噛み合わせも治療したいという主訴で来院されました。デジタルレントゲンと歯科用CTによる診査診断で第一大臼歯の上下左右の位置からアングル1級の開咬(オープンバイト)、ならびに前歯部の叢生と診断しました。マウスピース型矯正(インビザライン)による治療計画をご提案し、1年3ヶ月(15ヶ月)で矯正治療を完了しました。
広範囲な歯周病と骨欠損を保険診療で治療
30代 / 男性 2021年6月18日 公開

治療前

治療後
患者さんは歯ぐきからの出血を主訴としてご来院されました。歯周病(歯槽膿漏)の自覚症状がいつ頃からだったのか、記憶をたどって頂きながらヒアリングしました。目視でも歯ぐきは大きく腫れていて出血し、膿がたまって排膿していたことから、広範囲に炎症が進んでいることがわかります。その上でデジタルレントゲン、歯周ポケット検査、出血・排膿の検査などを行ないました。 検査の結果は下顎前歯部、左右下顎臼歯部に骨欠損があり、広範性慢性歯周炎と診断をお伝えし、併せて治療計画をお話ししました。
前歯の抜歯即時埋入インプラント治療
30代 / 男性 2021年4月27日 公開

治療前レントゲン写真

治療後レントゲン写真
患者さんは30代の男性で、前歯が痛くてグラグラすると言うことで来院されました。 触診すると確かに、左上1番はグラグラと動いてこのままでは 歯が脱落する状況でした。 レントゲン、CTを撮影して骨の様子を確認したところ歯冠部と歯根で歯が折れ、残念ながら診断は破折でした。周囲の歯を保つためにもインプラントによる治療をご提案させていただき、患者さんの理解と同意を得ることができたので、骨造成も行いながら約1年で機能的・審美的に優れたインプラント治療を終えました。
折れた前歯をインプラント治療
50代 / 男性 2021年1月13日 公開

初診来院時

治療終了時
患者さんは50代の男性で、折れた前歯を治療したいということでご来院されました。骨造成とともに歯ぐきの再生治療をおこない、約1年間で前歯1本をインプラントとセラミッククラウンで治療した審美歯科です。
レントゲン・C T・視診・触診・咬筋の触診の総合診断によって左上1番の歯根破折と診断しました。歯根破折に対する治療としてはブリッジ治療またはインプラント治療がありましたが、両隣の神経の残っている健康な歯を削ることを避けるためにも、今回はインプラントによる治療を提案しました。そのうえで患者さんのご希望も伺い最終的にインプラントに決定しました。

| 診療時間 | 月 | 火 | 水 | 木 | 金 | 土 | 日・祝 |
|---|---|---|---|---|---|---|---|
| 10:00〜13:00 | ● | ◾ | ● | ● | ● | ◾ | ● |
| 14:30〜19:00 | ● | ◾ | ● | ● | ● | ◾ | ※ |
月〜金曜 10:00 〜 13:00 / 14:30 〜 19:00
日・祝 10:00 〜 13:00 / 14:00 〜 17:00
◾ 火・土曜日は休診となります。
※日祝日は診療が早く終わる分、
平日の14:30からではなく14:00から診療です。
※訪問診療は月・火・木曜日のみとなります。
平日夜7時まで診療/日祝日の診療対応
〒150-0012
渋谷区広尾1丁目11-5
朝日広尾マンション1F204号
一般歯科/小児歯科/審美歯科/矯正歯科/インプラント
※ホワイトニング、クリーニング、 定期検診ご希望の方は、お電話にてご予約お願いいたします。
※ホワイトニング、クリーニング、 定期検診ご希望の方は、お電話にてご予約お願いいたします。









