症例紹介
治療された患者さんの
症例をご紹介します。
噛み合わせの不具合を精密な診断で白い歯に治療
50代 / 男性 2025年10月14日 公開

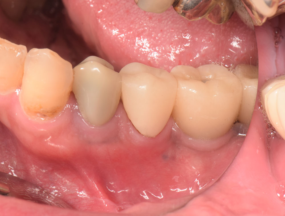
治療前

治療後
患者さんは50代の男性で、顎を動かして話したり食べたりする際、奥歯に過度の力や加わり、また上下の歯同士がぶつかることで、歯に負担がかかりその1本の歯だけでなく周囲の歯にも影響を及ぼしていました。そのため他医院で保険による銀歯の被せ物の治療を繰り返されていらっしゃったとのこです。今回は下顎の銀歯を白いセラミックで綺麗にしたいということで、恵比寿・広尾歯科に来院されました。お口のなかを拝見すると本来は顎が左右に動く際には犬歯が起点となって、奥歯に強い横向きの力が加わらないように隙間をつくるのですが、この患者さんは犬歯の働きが正しくできずに奥歯に強い力が加わり続けていました。この強い噛み合わせは歯周病の要因(咬合性外傷)となったり、周囲の歯をふくみ欠け・割れを引き起こすことがあります。根本原因を解決せずに白いセラミックで治療しても、固いセラミックにより反対側の歯を痛めてしまったり、時には固いセラミックも欠けるようなダメージを歯に受けることもあります。そこで根本的な噛み合わせと顎運動の改善から治療をスタートし、仮歯で時間をかけて患者さんの理想的な犬歯誘導が行われる形態と噛み合わせをつくり、最終的にセラミックの本歯で治療を終えました。
治療ステップ
治療ステップ1診査診断
1. レントゲンによる診査診断
2. 噛み合わせ検査による診査診断
3. 仮歯による調整
4. 再評価
5. 本歯のセラミックによる治療
治療ステップ2精密な仮歯による確認と機能回復
お口全体の基本清掃をおこなった後、仮歯による歯冠外形の確認と調整をおこないます。仮歯といってもテックと呼ばれる隙間を見えなくする仮歯ではなく、プロビジョナルという、形と機能を検証する材質以外はセラミックの本歯と変わりがない精密な仮歯です。今回治療する小臼歯は顎が後に下がりすぎないストッパーの役割とともに、噛み合わせを安定させる大切な歯です。そのため審美性や形態学的な側面でなくその患者さんの墓の歯との機能的調和が大切になります。
保険の金属ではその外形・形態もルーズで機能を伴わない場合が多いため症状が悪化する方も少なくありません。今回はセラミックの本歯に向けて噛み合う面(咬合面の咬頭と窩の形態、歯冠外形の機能性を最優先として仮歯を制作ししました。
仮歯(プロビジョナル)で顎を動かし、顎の動きや噛み合わせをみながら細かく仮歯を調整していきます。仮歯で数週間お過ごし頂き、実際の生活の中で不都合がないか、神経や筋肉と調和するように馴染むか、経過観察をおこないます。
治療ステップ3歯冠外形を決定し本歯で治療
治療ステップ4噛み合わせの調整
最後にセラミックによる本歯で数日間お過ごし頂いたあと、再度ご来院頂いて最終的な噛み合わせの調整をおこないます。これは同じ歯冠外形でも材質の異なるセラミックの本歯に置き換わることで、周囲や反対の歯との噛み合わせがマイクロ単位で変化するためです。この最終的な咬合調整を怠ると、さまざまなトラブルの原因となります。恵比寿・広尾歯科では見た目の治療だけでなく話す、噛む、飲み込むという歯とお口の機能回復をもっとも大切に考えています。
治療費
| ファイバーコア | 20,000円 | |
|---|---|---|
| セラミッククラウン | 160,000円 | |
| 合計 | 税抜 180,000円 (税込198,000円) | |
※価格は税別です。
※保険外診療による治療費用を明記しています。
※費用は、歯・口腔内の状態によって異なります。
※費用は治療当時のもので現在と異なりますことをご了解ください。
リスク・副作用
※矯正治療は保険外診療(自費診療)のため、公的医療保険の適用外となります。
※マウスピース型矯正は医療機器法対象外の矯正装置であり、医薬品副作用被害救済制度の対象となりません。

| 診療時間 | 月 | 火 | 水 | 木 | 金 | 土 | 日・祝 |
|---|---|---|---|---|---|---|---|
| 10:00〜13:00 | ● | ◾ | ● | ● | ● | ◾ | ● |
| 14:30〜19:00 | ● | ◾ | ● | ● | ● | ◾ | ※ |
月〜金曜 10:00 〜 13:00 / 14:30 〜 19:00
日・祝 10:00 〜 13:00 / 14:00 〜 17:00
◾ 火・土曜日は休診となります。
※日祝日は診療が早く終わる分、
平日の14:30からではなく14:00から診療です。
※訪問診療は月・火・木曜日のみとなります。
平日夜7時まで診療/日祝日の診療対応
〒150-0012
渋谷区広尾1丁目11-5
朝日広尾マンション1F204号
一般歯科/小児歯科/審美歯科/矯正歯科/インプラント
※ホワイトニング、クリーニング、 定期検診ご希望の方は、お電話にてご予約お願いいたします。
※ホワイトニング、クリーニング、 定期検診ご希望の方は、お電話にてご予約お願いいたします。











