症例紹介
治療された患者さんの
症例をご紹介します。
噛み合わせと歯の負担を精密な診査診断で治療
40代 / 女性 2025年10月14日 公開

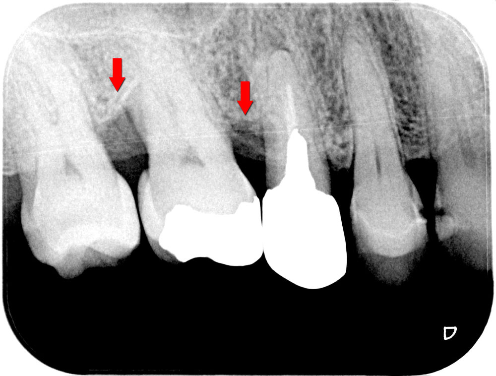
歯周再生治療前

歯周再生治療後
患者さんは40代の女性で、歯がグラグラで噛めないので噛めるようしたいと恵比寿・広尾歯科に来院されました。お口のなかを拝見すると歯周病が進行し特に奥歯の歯周ポケットが深くなり、歯を支える顎の骨が溶けている状況でした。歯ブラシで磨きにくいため汚れが溜まりやすいだけでなく、奥歯は噛み合わせの力が強く加わり歯周病の悪化しやすい歯です。この患者さんも以前、保険の銀歯で治療されていましたが、年々歯がグラグラ(動揺)して噛めないとご来院されました。
歯周病認定医でもある院長 前島による歯周病診断、歯周基本治療のうえで、エナメルマトリクス蛋白(EMD/エムドゲイン)による歯周病再生療法により失われた顎の歯を支える骨を再生します。このエナメルマトリクス蛋白は、幼若ブタの歯胚から抽出・精製したもので、このタンパク質により歯が生えるメカニズムを応用して失われた骨の再生を促します。今回は基本歯周治療と歯周再生療法による歯周病治療をおこないました。
治療ステップ
治療ステップ1治療計画
1. レントゲン、歯周ポケット測定による診査診断
2. 歯石除去などの歯周基本治療
3. 歯周再生療法
4. 再評価
5. 定期検診
治療ステップ2歯周基本治療
お口全体の徹底した歯石除去をおこないます。その後歯科衛生士による歯ブラシ指導をおこない患者さんのホームケアの質を高めた上で、歯周病の精密検査を行います。基本歯周治療によって歯周病の改善がみられていることを確認のうえ、歯周再生療法に移行します。レントゲン写真の矢印部箇所のように、骨が歯周病により溶けている状態です。
治療ステップ3歯周再生療法
EMD による再生治療は外科的なアプローチをともない行います。まず歯肉を切開・剥離して歯根と歯槽骨を見えやすい状態にします。この状態でそれまで(歯肉縁下の)歯茎に隠れていた歯根先端部についた歯石、歯周病に感染したセメント質を清掃・除去します。
治療ステップ4再評価・定期検診
歯周再生治療前
歯周再生手術の終了約1年後のレントゲン写真です。失われていた骨の再生とともに歯槽硬線(↓部)が確認され歯周再生治療の効果を評価・確認しました。慢性的な歯周病の治療とともに、歯を支える顎の骨、歯槽硬線(白線)の再生により歯のぐらつきも改善され患者さんにも、ご満足頂きました。
治療費
| 歯周組織再生療法 | 130,000円 | |
|---|---|---|
| 合計 | 税抜 130,000円 (税込143,000円) | |
※価格は税別です。
※保険外診療による治療費用を明記しています。
※費用は、歯・口腔内の状態によって異なります。
※費用は治療当時のもので現在と異なりますことをご了解ください。
リスク・副作用
※矯正治療は保険外診療(自費診療)のため、公的医療保険の適用外となります。
※マウスピース型矯正は医療機器法対象外の矯正装置であり、医薬品副作用被害救済制度の対象となりません。

| 診療時間 | 月 | 火 | 水 | 木 | 金 | 土 | 日・祝 |
|---|---|---|---|---|---|---|---|
| 10:00〜13:00 | ● | ◾ | ● | ● | ● | ◾ | ● |
| 14:30〜19:00 | ● | ◾ | ● | ● | ● | ◾ | ※ |
月〜金曜 10:00 〜 13:00 / 14:30 〜 19:00
日・祝 10:00 〜 13:00 / 14:00 〜 17:00
◾ 火・土曜日は休診となります。
※日祝日は診療が早く終わる分、
平日の14:30からではなく14:00から診療です。
※訪問診療は月・火・木曜日のみとなります。
平日夜7時まで診療/日祝日の診療対応
〒150-0012
渋谷区広尾1丁目11-5
朝日広尾マンション1F204号
一般歯科/小児歯科/審美歯科/矯正歯科/インプラント
※ホワイトニング、クリーニング、 定期検診ご希望の方は、お電話にてご予約お願いいたします。
※ホワイトニング、クリーニング、 定期検診ご希望の方は、お電話にてご予約お願いいたします。
















